A Surge In Surgeries
Let's get this over with already.
Today’s post is, I guess, about actually doing your preventative maintenance in a timely fashion.
I was due for a colonoscopy at the end of 2019. Hello, pandemic. I finally got it scheduled in mid-2024, but I arrived to find my provider having a ransomeware problem, and it got cancelled. I was on walkabout at the time, way out in the middle of nowhere, and just getting to the city was hard. So it’s getting done early next year, after a brief six year delay. (That’s one.)
I am much less excited about last Friday’s inspection of my right wrist. Some loose carpet went out from under me at the end of September and my right wrist took the brunt of the fall. Then three weeks later I slipped while leaning over my bed to grab something and again landed right hand palm down. There was no notable bruising either time, so it’s not a hairline fracture, but now any torque on it causes discomfort - even slicing an apple is a two hand job now - something is likely torn. So I got a referral to an orthopedic surgeon. (That’s two.)
The largest cyst on my right kidney was about 40mm in 2022. Last week I learned it’s now 83mm, which is into “get it taken care of RIGHT NOW” range. This is not a terrible thing, it’s laproscopic. Two days of no showering, a week of being sore, and that’s that. I’m low key excited about this, I remember how good I felt the first time I had it done in 2016. (That’s three.)
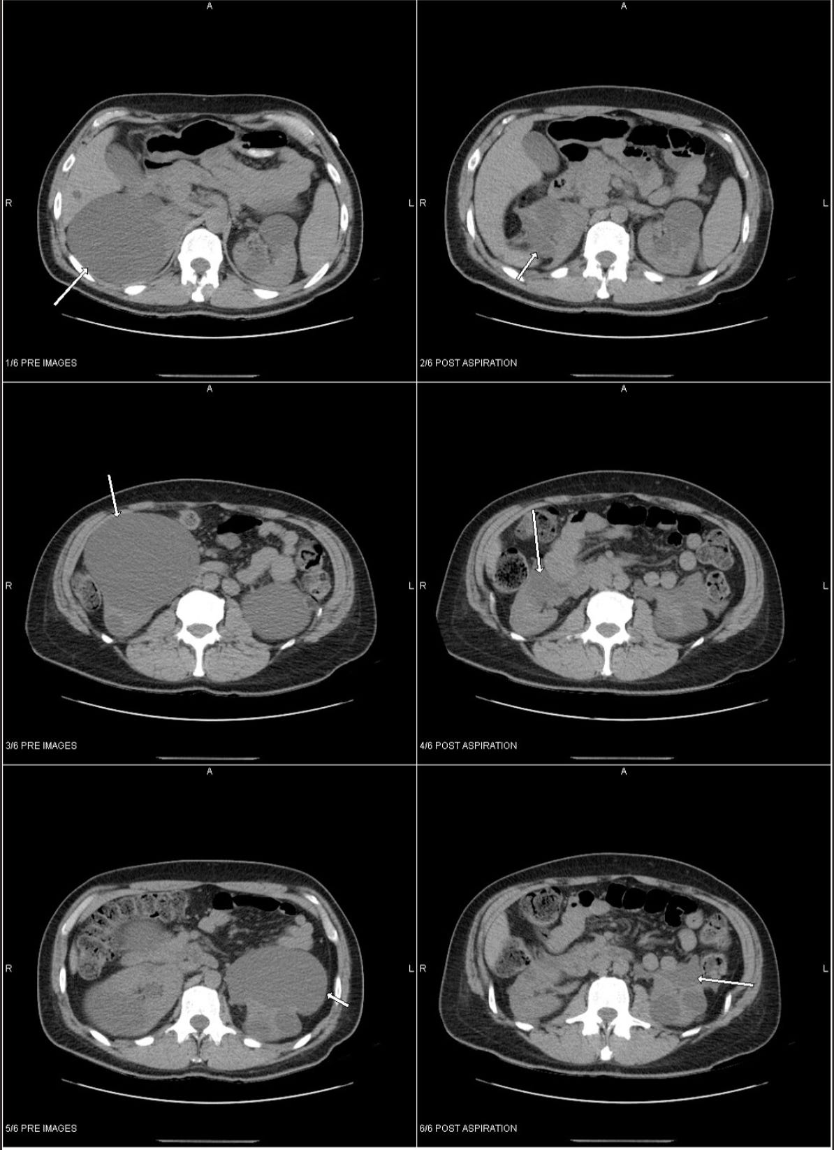
This is what I faced in the fall of 2016 - a 40oz worth of fluid around my right kidney and a cyst the same size as the one I have now was on my left side.
The left images are before, right images are after, and since this is straight from the radiologist, it’s swapped left to right, which makes my head hurt trying to mentally flip it around to match how I feel as I write this. They aspirate first, then wait a week, then the actual surgery to remove the cysts happens. This is post aspiration, it shows the size. The one on the right was 1300ccs - that’s a 40oz worth of fluid.
So this is what’s on tap for the first six weeks of 2026. I’m getting poked and prodded, sliced and diced, I will be laid up for a week on kidneys, and I haven’t even seen the orthopedic guy yet.
I got one thing done last July, cleared up a nearly two decade long chronic health problem through the fall, and now I’m tending to the rest. The startup is moving along and the minute we get funded I am going to drop $5k on extremely overdue dental work.
What preventative care do YOU need that’s way overdue?
Well, don’t just sit there, go get after it … you men especially. You know how we are, shrugging things off … until they kill us. There is still plenty for you to see and do, so get moving.




It’s one thing after the other.
You’re up to the job of staying upright. Fog 🌫️ has cleared.